0%

Caso Clinico

Restauri in composito

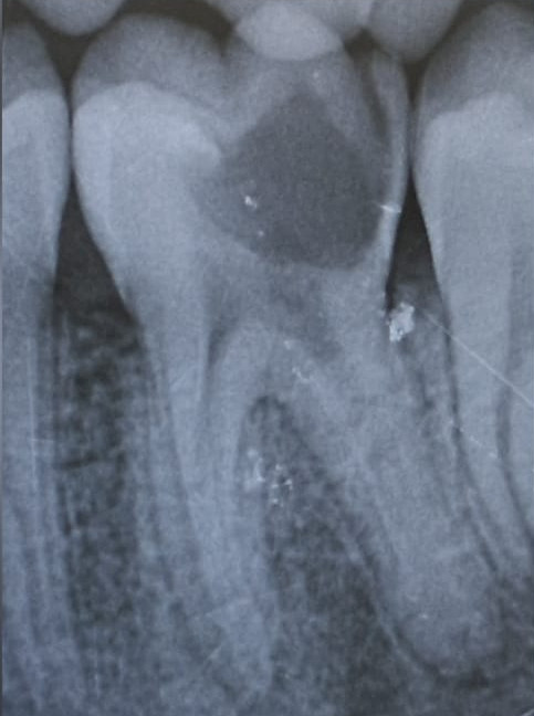
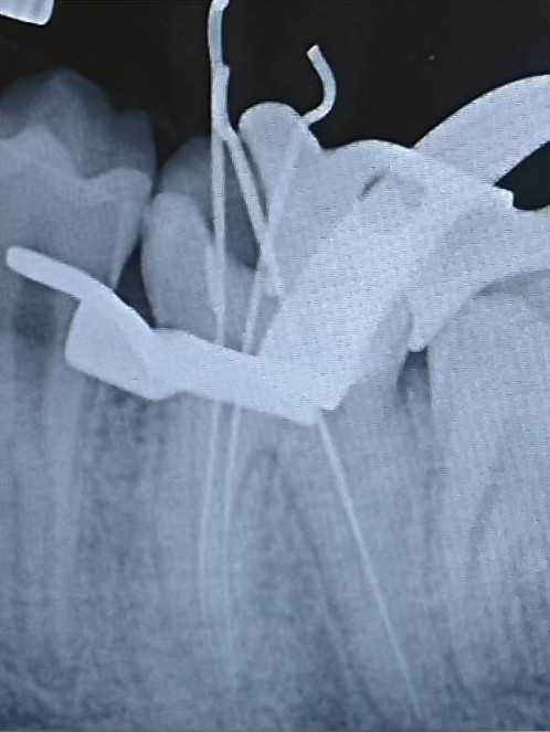
Il restauro di un dente cariato o fratturato si ottiene con il composito. È un materiale, in uso
da circa 45 anni, che diviene tutt’uno col dente.
È innocuo al dente e all’organismo. La gran parte dei restauri ha già superato i 35 anni.
Prima o dopo questo limite può essere necessario.
Durata media di una seduta di restauro: 1 ora

Array ( [0] => https://www.gianfrancoaiello.it/wp-content/uploads/2024/12/new-restauro-prima-1000x667.jpg [1] => 1000 [2] => 667 [3] => 1 ) https://www.gianfrancoaiello.it/wp-content/uploads/2024/12/new-restauro-prima-1000x667.jpg
Prima
Dopo

Eccellenza e Risultati Visibili

La nostra esperienza in ogni ambito dell’odontoiatria è testimoniata dai risultati ottenuti. Attraverso tecniche innovative e personalizzate, trasformiamo sorrisi con trattamenti mirati e precisi. Scopri alcuni esempi di casi reali nella galleria qui sotto.

Caso Clinico 1Caso Clinico 2Caso Clinico 3Caso Clinico 4Caso Clinico 5Caso Clinico 6
Caso Clinico 7Caso Clinico 8


Orario di lavoro

  • Lunedì :09-12:30 / 14:30-18:00
  • Martedì :09-12:30 / 14:30-18:00
  • Mercoledì :09-12:30 / 14:30-18:00
  • Giovedì :09-12:30 / 14:30-18:00
  • Venerdì :09-12:30 / 14:30-18:00
  • Sabato :CHIUSO
  • Domenica :CHIUSO

Fai una domanda