0%

Caso Clinico

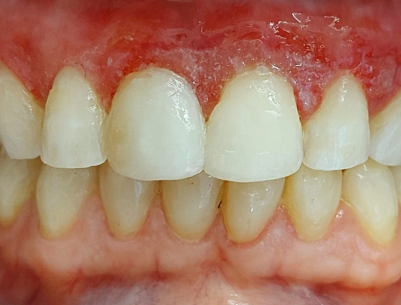
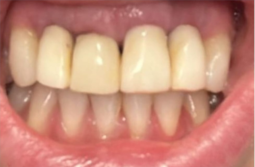
Estetica della gengiva

Un’anomalia nella forma della gengiva procura una menomazione del sorriso.
Ho messo a punto circa 40 anni fa, a fianco alle già note procedure di clinica parodontale,
degli interventi di chirurgia plastica della gengiva, capaci di ristabilire la migliore
architettura e le giuste proporzioni.
Andiamo dal peeling eseguito con delle specifiche frese, ad interventi rimodellanti eseguiti
solo con procedura chirurgica.
La durata degli interventi varia da mezz’ora a una ora

Array ( [0] => https://www.gianfrancoaiello.it/wp-content/uploads/2025/02/estetica-della-gengiva-dopo-EDIT-1000x527.jpeg [1] => 1000 [2] => 527 [3] => 1 ) https://www.gianfrancoaiello.it/wp-content/uploads/2025/02/estetica-della-gengiva-prima-edit-1000x527.jpeg
Prima
Dopo

Eccellenza e Risultati Visibili

La nostra esperienza in ogni ambito dell’odontoiatria è testimoniata dai risultati ottenuti. Attraverso tecniche innovative e personalizzate, trasformiamo sorrisi con trattamenti mirati e precisi. Scopri alcuni esempi di casi reali nella galleria qui sotto.

Caso Clinico 1Caso Clinico 2
Caso Clinico 3Caso Clinico 4


Orario di lavoro

  • Lunedì :09-12:30 / 14:30-18:00
  • Martedì :09-12:30 / 14:30-18:00
  • Mercoledì :09-12:30 / 14:30-18:00
  • Giovedì :09-12:30 / 14:30-18:00
  • Venerdì :09-12:30 / 14:30-18:00
  • Sabato :CHIUSO
  • Domenica :CHIUSO

Fai una domanda