0%

Caso Clinico

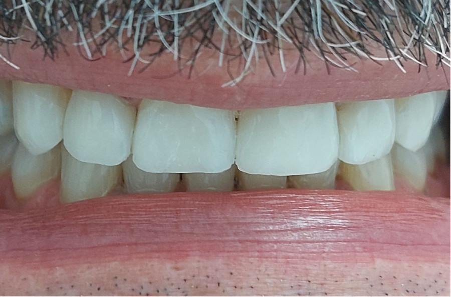
Coronoplastica estetica

Quando non è possibile o non è indicato il trattamento ortodontico, da circa 40 anni adotto
la tecnica della coronoplastica.
Un metodica che modifica la forma della corona dentale, in modo da ottenere
un’armonizzazione funzionale ed estetica del sorriso.
È necessario un sapiente utilizzo d’una fresa, per eliminare le parti in eccesso, e di un
materiale estetico chiamato composito (miscela di quarzo e resina) per aggiungere le
porzioni mancanti.

Array ( [0] => https://www.gianfrancoaiello.it/wp-content/uploads/2025/02/coronoplastica-dopo-EDIT-1000x667.jpeg [1] => 1000 [2] => 667 [3] => 1 ) https://www.gianfrancoaiello.it/wp-content/uploads/2025/02/coronoplastica-prima-edit-1000x667.jpeg
Prima
Dopo

Eccellenza e Risultati Visibili

La nostra esperienza in ogni ambito dell’odontoiatria è testimoniata dai risultati ottenuti. Attraverso tecniche innovative e personalizzate, trasformiamo sorrisi con trattamenti mirati e precisi. Scopri alcuni esempi di casi reali nella galleria qui sotto.

Caso Clinico 1Caso Clinico 2Caso Clinico 3Caso Clinico 4Caso Clinico 5
Caso Clinico 6Caso Clinico 7Caso Clinico 8


Orario di lavoro

  • Lunedì :09-12:30 / 14:30-18:00
  • Martedì :09-12:30 / 14:30-18:00
  • Mercoledì :09-12:30 / 14:30-18:00
  • Giovedì :09-12:30 / 14:30-18:00
  • Venerdì :09-12:30 / 14:30-18:00
  • Sabato :CHIUSO
  • Domenica :CHIUSO

Fai una domanda