0%

Caso Clinico

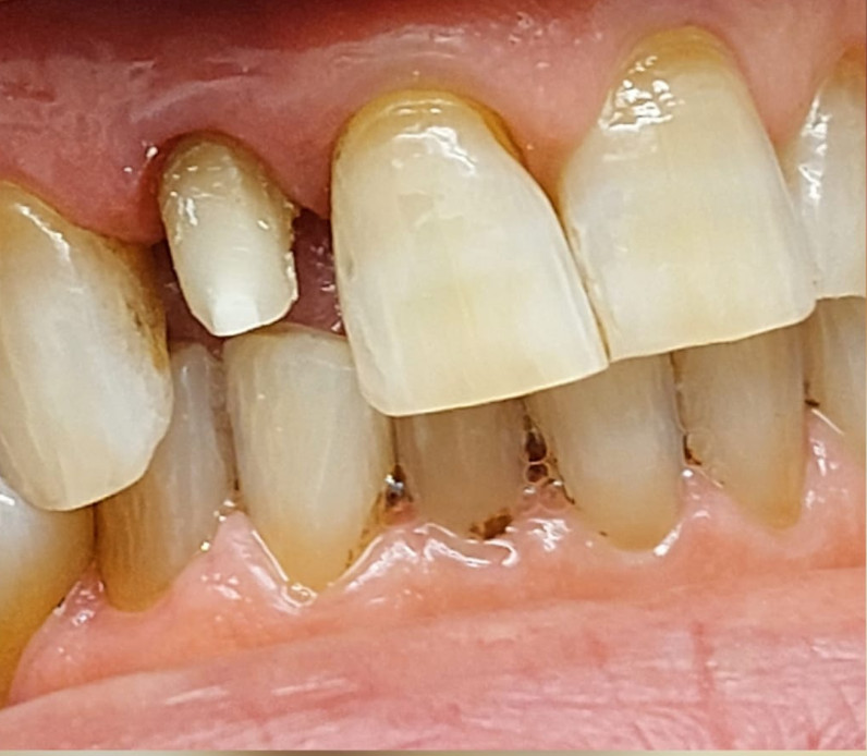
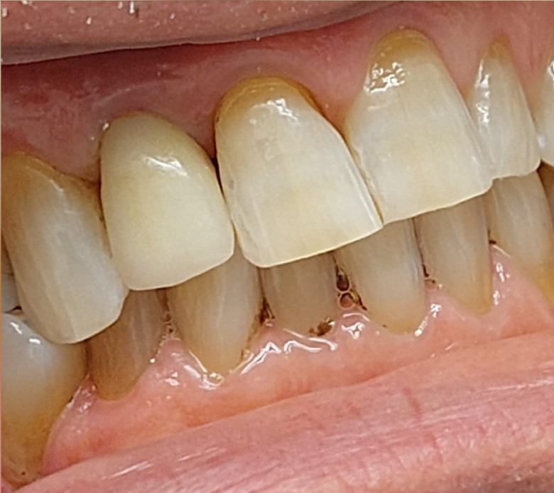
Protesi

La soluzione più economica è la tradizionale dentiera che può divenire una straordinaria
occasione per riabilitare sia la masticazione che il sorriso con denti in ceramica.
Inoltre è possibile un recupero della fisiognomica (profilo e ovale) del viso, ristabilendo un
aspetto naturale e giovane.

Array ( [0] => https://www.gianfrancoaiello.it/wp-content/uploads/2024/12/new-protesi-dopo-1000x667.jpg [1] => 1000 [2] => 667 [3] => 1 ) https://www.gianfrancoaiello.it/wp-content/uploads/2024/12/new-protesi-prima-1000x667.jpg
Prima
Dopo

Eccellenza e Risultati Visibili

La nostra esperienza in ogni ambito dell’odontoiatria è testimoniata dai risultati ottenuti. Attraverso tecniche innovative e personalizzate, trasformiamo sorrisi con trattamenti mirati e precisi. Scopri alcuni esempi di casi reali nella galleria qui sotto.

Caso Clinico 1Caso Clinico 2
Caso Clinico 3Caso Clinico 4Caso Clinico 5
Caso Clinico 6Caso Clinico 7Caso Clinico 8
Caso Clinico 9
Caso Clinico 10
Caso Clinico 11
Caso Clinico 12Caso Clinico 13Caso Clinico 14
Caso Clinico 15Caso Clinico 16Caso Clinico 17Caso Clinico 18Caso Clinico 19


Orario di lavoro

  • Lunedì :09-12:30 / 14:30-18:00
  • Martedì :09-12:30 / 14:30-18:00
  • Mercoledì :09-12:30 / 14:30-18:00
  • Giovedì :09-12:30 / 14:30-18:00
  • Venerdì :09-12:30 / 14:30-18:00
  • Sabato :CHIUSO
  • Domenica :CHIUSO

Fai una domanda