0%

Caso Clinico

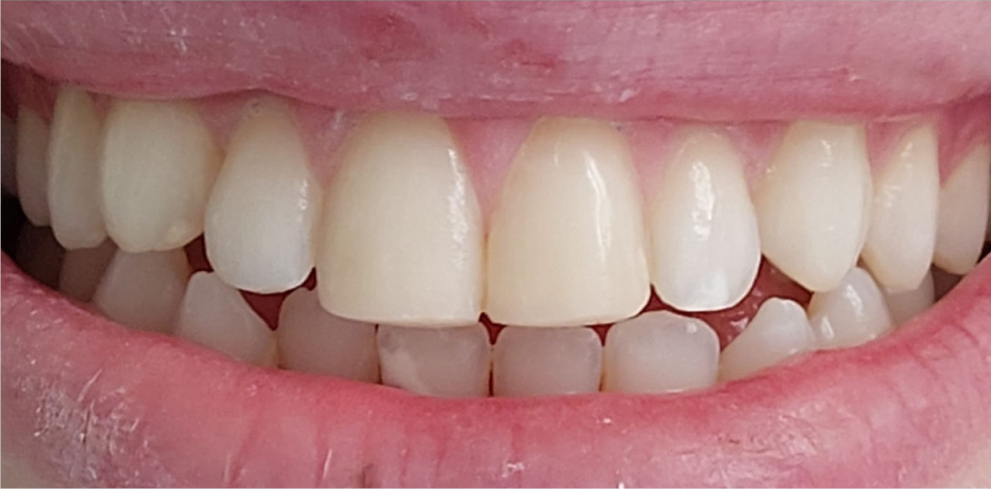
Sbiancamento dentale

Dal 1991 utilizzo il metodo Nightguard Bleaching messo a punto dal professore Haywood
della North Caroline University e testato l’anno successivo dalla New York University. Non
danneggia lo smalto; non nuoce al cavo orale o all’organismo. Il risultato è definitivo.
Pertanto una procedura innocua, economica e definitiva.

Array ( [0] => http://www.gianfrancoaiello.it/wp-content/uploads/2024/12/new-sbiancamento-prima-1000x667.jpg [1] => 1000 [2] => 667 [3] => 1 ) http://www.gianfrancoaiello.it/wp-content/uploads/2024/12/new-sbiancamento-prima-1000x667.jpg
Prima
Dopo

Eccellenza e Risultati Visibili

La nostra esperienza in ogni ambito dell’odontoiatria è testimoniata dai risultati ottenuti. Attraverso tecniche innovative e personalizzate, trasformiamo sorrisi con trattamenti mirati e precisi. Scopri alcuni esempi di casi reali nella galleria qui sotto.

Caso Clinico 1Caso Clinico 2Caso Clinico 3Caso Clinico 4Caso Clinico 5Caso Clinico 6
Caso Clinico 7Caso Clinico 8Caso Clinico 9


Orario di lavoro

  • Lunedì :09-12:30 / 14:30-18:00
  • Martedì :09-12:30 / 14:30-18:00
  • Mercoledì :09-12:30 / 14:30-18:00
  • Giovedì :09-12:30 / 14:30-18:00
  • Venerdì :09-12:30 / 14:30-18:00
  • Sabato :CHIUSO
  • Domenica :CHIUSO

Fai una domanda